儿童喝碳酸饮料的危害
孩子总是喝碳酸饮料对身体的危害是比较大的,经常喝碳酸饮料会导致孩子出现很多健康问题。碳酸饮料当中含有大量的糖分经常喝会导致孩子的身体的糖分摄入过多,过多的糖分在身体里面堆积,代谢不掉就会转化成脂肪引起孩子发胖,同时还会增加孩子得糖尿病的危险,现在很多儿童高血糖糖尿病和日常吃的零食以及喝的碳酸饮料都脱不开关系。

孩子总是喝碳酸饮料,还有可能导致胃酸功能紊乱,大蒜饮料当中含有比较多的二氧化碳,会容易引起孩子的胃部胀满不适反酸,甚至会出现消化不良的状况,有些孩子在喝了大量的碳酸饮料之后就不会吃饭,长期这样下去就会让孩子的身体健康出现问题。会上有些孩子看上去又高又壮,但实际上身体亏虚的比较厉害,稍微一运动就气喘嘘嘘。

孩子长期喝碳酸饮料还容易引起咽喉疾病,我记得曾经有一个这样的报道,有一个三岁的孩子每天都要喝一瓶可乐。家长也没有意识到可乐会给孩子带来危害,孩子喜欢喝就给他买,可是有一天没出去给孩子买饮料,孩子却出现了呼吸困难的情况,而且嗓子也特别不舒服,带到医院检查,就是因为喝碳酸饮料导致的依赖症,如果有一天不喝就会出现像类似哮喘的情况,虽然这种情况是极少数发生的,但是家长也是需要特别注意的。

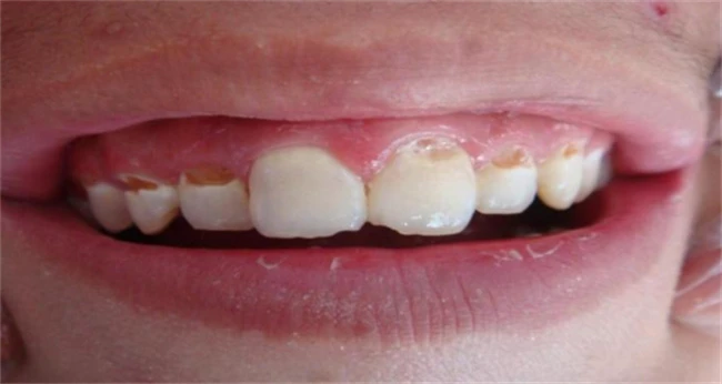
碳酸饮料还会影响孩子的牙齿健康,碳酸饮料当中的碳酸会溶解牙齿表面的牙釉质让牙齿出现牙斑,龋齿特别容易滋生口腔细菌。而且经常喝碳酸饮料,还容易导致孩子的身体里面的钙流失。让孩子出现缺钙甚至是骨质疏松的情况,对于孩子来说最好的饮料就是白开水,除了碳酸饮料之外,其他的饮料都是不太健康的,只是相比之下碳酸饮料的危害更大一些。